患者さまの声 Opinions of Patients
-
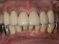
55歳 女性 橿原市
- インプラント歯になって2ヶ月がたちました。初めは反対側の歯を
- 使うことが多かったのですが、最近はかたよりなく使用しています。
- 以前の歯科医院では、3本ブリッジ治療のみの選択でした。
- 白い歯をまた無くすことに抵抗があり、実母がインプラント歯で
- 快適に過ごしているのを見ておりましたので、即、転院を決めました。
- 治療期間は長かったですが、慎重を期して診てくださると聞いており
- ましたので、完了するのを楽しみに通院しました。
- 予約時間が正確なこと、駐車場が広いことも助かりました。
- 今は歯磨きする時、口を大きく開けた時に、白い歯が増えたことを
- うれしく感じています。お世話になりました。これからもよろしく
- お願いします。
-
75歳 女性 大和高田市
- インプラントの歯が完成する日、4時45分から6時15分までかかり、
- 先生もお疲れになったと思いますが、私も疲れ、お腹はペコペコ。
- 帰りにウエダ歯科の並びにある喫茶店でおぜんざいをいただきました。
- 小さいお餅が二つ入って甘さもバッチリ。インプラントで初めて食したのが
- おぜんざい。美味しかったア~! 一生忘れないと思います。
- 友達の娘さんにインターネットで調べていただき、大和高田で一番の
- 歯科医はウエダ歯科だと教えていただきました。大阪の歯科医では
- インプラントが1本40万円もすると言われ躊躇していました。出先から
- 帰れば一番に入れ歯をはずすといった具合でしたので、ウエダ歯科で
- 思いきってして頂くことに決めました。肩こりもなくなり、こんな事なら
- もっと早くすれば良かったと思っています。ウエダ先生に出会えて
- 感謝しております。今後とも、どうか宜しくお願い致します。




























